I entered remission five years ago on February 11th 2021.

It’s been a wild ride, to say the least.
Ultimately, everybody’s journey through cancer is their own. If you’re a cancer survivor too, your journey is not my journey, and my journey is not your journey, no matter how similar they may be. Some people never make it through. A sobering thought.
A cancer diagnosis is often a gut punch, but my diagnosis came as a relief to me. Prior to it, I had been slowly dying for months, but I did not know why or have a plan to deal with this slow death. My PCNS lymphoma diagnosis not only told me why I was dying, but it provided me with a plan: first chemo and then a stem cell transplant.
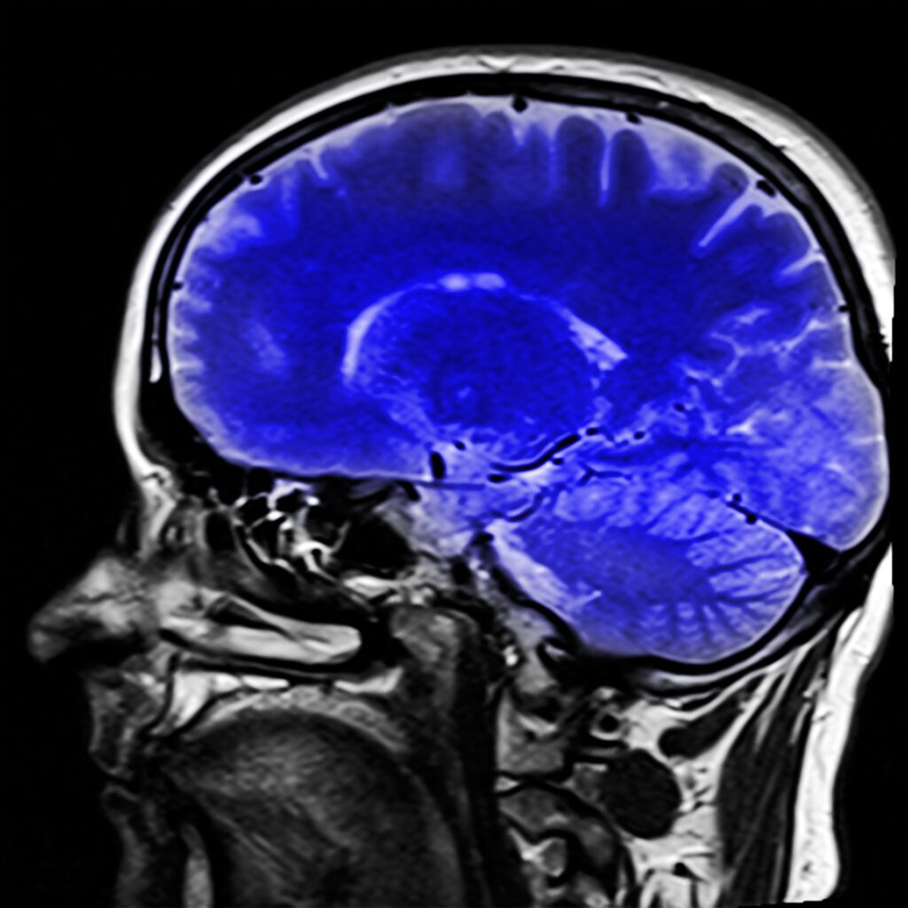
So I underwent treatment. After two rounds of chemo, the tumor was gone from my brain. After five rounds, I was declared to be in remission. Its now been five years since I entered remission, and my latest MRI, done in January of this year, indicates that my brain is still free from cancer. If I had gotten this disease 35 years ago, I would not have been so lucky. I would have died, pure and simple. Medicine has advanced.
After the chemo, I had a stem cell transplant. They extracted stem cells from my body, kept them in storage, destroyed my immune system, and finally they reinjected my stem cells so that I could rebuild my immune system. My entire treatment happened at the height of the COVID-19 pandemic, and yet, I never caught this disease.
It’s been a wild ride, I tell you!
My cancer was not the cause of my divorce, but it was a catalyst. My ex-wife and I had already been seeing a marriage counselor a good two years before my cancer showed up. After my treatment, I just did not see myself enduring through this marriage if nothing changed. I tried to change things, but it was in vain. So my ex-wife and I divorced. It is not what I would have wanted, but it was the way forward.
As we were discussing the divorce, I figured that there was no longer any reason for me to hide from the world the fact that I’m not straight, but pansexual. I knew since my teenage years that I wasn’t straight, and even told my wife before we got married that I was bisexual. That’s the only term that I knew at the time, but I prefer to call myself pansexual. Gender or its absence is just no obstacle when it comes to my desire to get intimate with someone else.
Besides being pansexual, I’m also polyamorous. Provided that I’m kept aware of my partners’ intimate encounters with other people, I don’t get jealous if they have those encounters. What gets to me is if I feel neglect. I suppose I might also get angry if a partner of mine hid their encounters with someone else, but this, to my knowledge, has not happened.
I also discovered BDSM, and that I am a Dom. I was always generous in bed, but BDSM allows me to optimize this generosity.
Then I realized that I’m autistic. The signs were present from infancy, but everybody treated me as neurotypical, so I thought that I was neurotypical. My ex-wife has ADHD, but we never discussed neurodivergence in our household. We both imagined that the other perceived the world in the same way we did. This is woefully incorrect, but we didn’t know any better.
I also realized that I’m nonbinary. The surest way to generate dysphoria in me is to insist that I should behave or not behave this or that way because I’m “a man.” At best, I’ll find the idea amusing. At worst, it will generate anger. At any rate, in retrospect, this is another element that caused friction between my ex-wife and me. She thought she had married “a man,” but she did not.
If my cancer had not happened, how much of this self-realization would have happened? I’m not sure. I was pretending to be a neurotypical man in a straight, monogamous, vanilla marriage. I think I could have gone on pretending for more years.
It’s been a wild ride, and I don’t think the ride is over just yet.
Leave a Reply